What is Complex Trauma Treatment?
Types of Complex Trauma
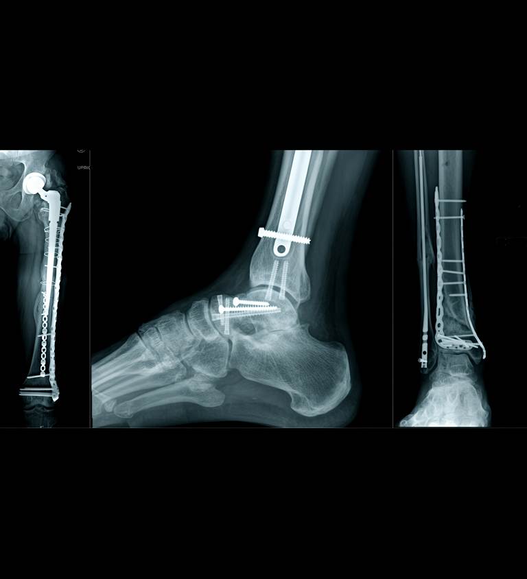
Multiple Fractures
Open Fractures
Dislocation with Fracture
This injury involves a joint being forced out of place, along with a nearby bone fracture. It commonly occurs in the shoulder or hip and requires precise realignment and stabilisation.
Crush Injuries
Polytrauma
Who Should Consider Complex Trauma Treatment?
With severe swelling, bruising, or open wounds
Those with the inability to move the affected limb or bear weight
Those with abnormal joint position
With visible bone deformity
Complex Trauma Treatment Benefits
Here are the benefits:
1
Advanced imaging and assessment techniques ensure precise identification of injuries.
2
Personalised approaches help address specific trauma needs for optimal recovery.
3
It helps to restore strength and stability to injured areas, supporting better function.
4
Proper management reduces the chances of infection and other post-injury complications.
5
Customised rehabilitation programs help regain the full range of motion and strength.
Complex Trauma Treatment
Patients begin with adequate rest and proper wound care to allow the body to start healing.
Physiotherapy is gradually introduced to rebuild strength, improve mobility, and restore joint function.
Medications are prescribed to control pain and make the recovery process more comfortable.
Scheduled check-ups help monitor bone healing, surgical outcomes, and overall recovery progress.
As healing improves, patients slowly resume daily routines with continued support to prevent stiffness and long-term complications.
Frequently Asked Questions
What are the different types of complex trauma surgeons?
What are common complex trauma symptoms?
How long does complex trauma symptoms recovery take?
When is complex trauma treatment required?
Are there different complex trauma types?
Get the Expert Care
Ready to take the first step towards a pain-free life? Book a consultation today and start your journey to better mobility and health. Ready to take the first step towards a pain-free life? Book a consultation today and start your journey to better mobility and health. Ready to take the first step towards a pain-free life? Book a consultation today and start your journey to better mobility and health.


